孩子出生时听力正常,但是说话还是不清楚,为什么?(今天为大家分享一则案例)
案例分享
基本信息:
姓名:蒋**; 性别:男;年龄:12岁
询问病史:出生时听力筛查通过,无黄疸史,一周岁开口说话;3-4岁时家长发现孩子与同龄孩子比较,言语发展水平略落后,因为新生儿筛查通过,所以未引起重视;现在孩子口齿不清,表达能力差。有家族史,哥哥耳聋。
本中心检查:
1.外耳道无耵聍堵塞,鼓膜正常,光锥可见。声阻抗A型。
2、纯音测听:双耳下坡型听力损失,平均听力,左耳71.7分贝;右耳70分贝。
从病史中了解到孩子出生时听力正常,后期听力下降,听力图250Hz,500Hz有明显气骨导差,高度怀疑大前庭导水管扩大。当天安排去医院影像学检查。
查。
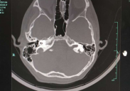
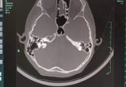
3. 影像学检查 CT,显示双侧前庭导水管扩大。
大前庭CT
处理:1、跟家长解释大前庭导水管扩大形成的原因及注意事项。
2、中低频较好,高频较差,建议使用移频助听器,家长综合考虑外观各方面因素,最终双耳选配唯听隐形定制机一对U-CIC-M220.
效果如下:
双耳助听前平均70分贝左右,戴助听器后左耳平均43.3分贝,右耳平均33.3分贝。提高30-40分贝。
定制机效果图
病因不明确,导致孩子听力下降没有及时处理,最终导致不可逆转的听力损失。通过这次来杭州惠耳国际听力中心,家长表示收获很大,也很后悔当初没有找病因,这样小儿子的听力情况可以得到控制,不至于发展成现在听力下降严重,语言表达能力落后。
专家建议:详细询问病史,针对听力有进行性下降的孩子,一定要拍内耳CT,确定是否有大前庭导水管扩大。

